Engine
Kode Etik
Pedoman Siber
Home
Cuaca
Ekonomi
Gadget
Health
Kolom
Kuliner
Lifestyle
News
Novel
Lainnya
Olahraga
Otomotif
Pendidikan
Properti dan KPR
Ragam
Religi
Sosial
Trading
Tren
World
Zodiak
Nasional
Daerah
Bisnis
Menu
Welcome
Masuk / Daftar
KATEGORI
Cuaca
Ekonomi
Gadget
Health
Kolom
Kuliner
Lifestyle
News
Novel
Olahraga
Otomotif
Pendidikan
Properti dan KPR
Ragam
Religi
Sosial
Trading
Tren
World
Zodiak
Nasional
Daerah
Bisnis
HALAMAN
Engine
Kode Etik
Pedoman Siber
Kategori: Cuaca
Belum ada berita dalam kategori ini.
Previous
1
...
Next
Berita Populer
Link Dana Kaget Hari Ini Senin, Cek Fakta Mitos Saldo Gratis Cepat Habis!
Admin
Link Dana Kaget Hari Ini Senin, Klaim Saldo DANA Gratis Langsung Cair!
Admin
Rekomendasi Saham Pilihan April 2026: Tiga Indikator Kunci Prediksi Cepat Arah Pasar
Admin
Link Dana Kaget Hari Ini Minggu, Klaim Saldo DANA Gratis Langsung Cair!
Admin
Rekomendasi Saham Pilihan April 2026: Menguak Indikator Akurat Penentu Arah Pasar Modal
Admin
EkBis
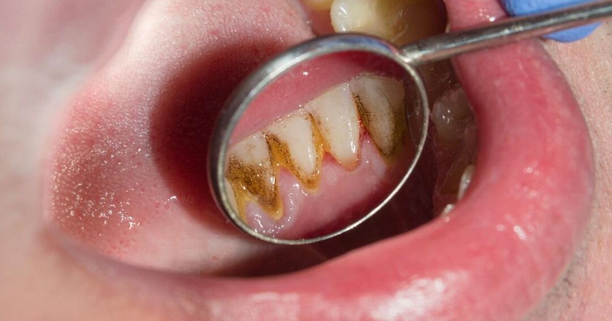
Waspada Ancaman Karang Gigi: Panduan Lengkap Pencegahan Mandiri untuk Senyum Sehat
06 Apr 2026
Cara Mudah Monetisasi TikTok April 2026: Cuan Maksimal!
Panduan Cepat Aktivasi FB Pro April 2026: Dari Konten Viral Jadi Cuan!
Panduan Praktis Klaim Asuransi Kesehatan Anti Ribet dan Terpercaya
Jejak Kertas Sunyi dan Melodi Hati yang Terlupa
Install App
infoterkini.id
Untuk pengalaman membaca berita yang lebih cepat dan nyaman, Install Aplikasi kami di Android Anda
Install Sekarang
Nanti Saja